Liver tumours
-
Benign liver tumours
Haemangiomas
These are very common lesions of the liver and are often picked up by accident on ultrasound scans done for other reasons. They represent an abnormal cluster of blood vessels, and we do not know why they occur. Often, there is more than one haemangioma. Very rarely they may show up as part of certain genetically acquired syndromes. If there is doubt about whether a lesion is definitely a haemangioma, a CT or MR scan with contrast will confirm its nature. Haemangiomas should not be biopsied unless absolutely necessary. They have little or no chance of turning malignant, and there is no need for surgery. Very occasionally, large ("giant") haemangiomas may cause symptoms or cause concern about possible rupture, and these can be surgically resected.
Liver adenomas
These are benign tumours that often occur in women, and are associated with the use of sex hormone preparations including the oral contraceptive pill. They show up on ultrasound, CT and MR scans, but can be difficult to distinguish from malignant tumours. Hence, needle biopsy (or surgical removal) may be the only way to confirm if a tumour is an adenoma or not, but even this may not be conclusive. Adenomas can sometimes regress on stopping the pill. These tumours can turn malignant and surgical removal is therefore the ideal treatment.
Focal nodular hyperplasia (FNH)
This is a benign condition where the liver tissue shows overgrowth just in one area. We do not know why this happens. It is seen commonly in middle-aged women. Ultrasound, CT and MR will show up the mass and the latter two may show some central scarring within the tumour, which is often seen in this condition. A radioisotope sulphur colloid scan can help distinguish FNH from a benign liver adenoma or a malignant tumour. If one is certain that a lesion represents FNH and not some other form of liver tumour, it can be left alone and observed.
-
Primary liver cancer
Hepatoma or Hepatocellular carcinoma (HCC)

Section through a cirrhotic liver shows the nodular appearance of the organ and multiple bluish foci of primary liver cancerWhat is HCC?
Within the liver, there are different kinds of cells. There are liver cells, or hepatocytes, and then there are cells that form bile ducts, cells that form the blood vessels, cells that work as scavengers, cells that make up the scaffolding or fibrous tissue, and so forth. Each of these cell types can give rise to cancerous growths. HCC is a cancer that arises out of the liver cells or hepatocytes. Every cancer starts off as a microscopic cluster of cells. When it is large enough to form a lump, the lump is often called a tumour. Doctors may use the terms cancer, malignancy, neoplasm, growth and tumour interchangeably, to refer to the same entity or the same process. The tumour is often multifocal i.e. there are several tumour nodules present within the liver. We do not know if this is because it starts off as one tumour that then spreads within the liver via blood vessels, or if several separate tumours start to grow at the same time. Once the tumour cells get into the blood circulation, HCC can spread to the lungs, bones and nearly any other part of the body. Tumour cells can also travel along the lymph vessels to the lymph glands (also called lymph nodes) at the base of the liver.
What causes HCC?
HCC can develop in people with perfectly healthy livers, but it is far more common in people who have cirrhosis. Cirrhosis from any cause increases the risk of developing HCC, but it is patients with Hepatitis B and C who are at the highest risk. HCC is therefore more common in parts of the world where Hepatitis B and C are prevalent, such as sub-Saharan Africa or the Far East.
What symptoms does it cause?
HCC may not cause any symptoms for quite a while, and show up only when it is in an advanced stage. It can cause jaundice (yellow discolouration of the skin and the eyes), pain in the upper abdomen, a low grade fever, weight loss and loss of appetite. Sometimes the enlarged liver or a lump can be felt in the upper right hand side of the abdomen. When it is very advanced, it can cause ascites (collection of watery fluid in the abdomen).
How is it diagnosed?
Diagnosis is usually made on the basis of an ultrasound scan, and then a CT and/or an MR is done to confirm that. Other tests, such as liver angiography, bone scans etc. are done only in situations where there is some diagnostic confusion. HCCs do not show up well on FDG PET scans. HCCs often release a substance in the blood stream, called Alpha Foeto Protein (AFP). This is known as a tumour marker. If the AFP level in the blood is raised, it very strongly suggests that the patient has a HCC. But the converse does not always apply – if the AFP levels are normal, that does not rule out a HCC. Needle biopsy can be done, but it does carry a small amount of risk, and should therefore be restricted to situations where it is absolutely necessary. Patients who are known to have cirrhosis or chronic Hepatitis B and C are often kept on regular surveillance with ultrasound scans, and many HCCs now get picked up on such scans, at an early stage.
What is the treatment?
The treatment of HCC depends on
- Tumour stage (how many nodules are present in the liver, how large are they, where exactly are they located in the liver, has the tumour spread to surrounding lymph nodes or to distant organs like the lungs or bones)
- Condition of the liver itself (is it healthy or cirrhotic, and if it is cirrhotic, how badly damaged is it)
- Age and overall fitness of the patient.
If the liver is healthy, the patient fit, and the tumour can be safely cut out, then surgical resection of the tumour can be considered.
If the liver is healthy but tumour is large or there are multiple tumours and therefore cannot be safely removed, then chemoembolisation (referred to as TACE) can be considered. This involves injecting an anti-cancer drug into the artery that feeds the tumour-bearing part of the liver (the drug may be mixed in an oily fluid or in very tiny glass beads). Sometimes, instead of an anti-cancer drug, a radio-active substance may be injected instead (the procedure is called SIRT).
If the tumour is small but the patient is unfit/unwilling to withstand surgery, radiofrequency ablation (RFA) can be considered. This involves placing a needle into the tumour and destroying it with energy generated at the tip of the needle. Alternatives to RFA include cryoablation or electroporation (IRE) which also require placement of a needle, or stereotactic ablative radiotherapy (SABR) which is beamed from the outside without need for needle placements..
If the liver is diseased (i.e. cirrhotic) but still in overall good condition, the patient is fit, and the tumour small, then liver transplantation should be considered. Surgical resection of the tumour or ablation may also be possible options. If the tumour is large and these options are not feasible, then chemoembolisation may be considered.
If the patient is unfit for surgery, the liver is very badly diseased, or the tumour is very large or has spread beyond the liver, then control of symptoms should be the main focus of care. Chemotherapy or immunotherapy (in the form of intravenous injections or tablets taken by mouth) are rarely curative in HCC, but may help by slowing down the progression of the tumour. Any new treatments offered to such patients should be within the context of a proper clinical trial.
-
Primary bile duct cancer (Cholangiocarcinoma)
Please see the section on Bile duct cancer
-
Secondary liver tumours

FDG PET scan picture showing a secondary tumour deposit in the liverWhy do secondary tumours develop in the liver?
A cancerous tumour in any part of the body can release cells that go floating in the bloodstream. These cells can land up in another part of the body (such as the liver), and grow there to form secondary cancers, or metastases. The liver is a common site of secondary cancer.
How are bowel cancers different from other cancers when it comes to liver secondaries?
When a breast cancer, for example, causes liver metastases, it is very likely that the cancer cells have gone floating around the entire body, and there are metastases elsewhere too, especially the lungs and the bones. But with bowel cancer, the situation is slightly different. All the blood flowing out of the bowel first goes to the liver via the portal vein. The liver acts as a filter, and is therefore the first, and often the only site of secondary deposits from bowel cancer. It is now well-recognised that surgical removal of the liver metastases from bowel cancer (or to be more precise, colon and rectum cancer) can achieve a cure in a significant proportion of patients. When it comes to other cancers, surgical resection of liver metastases may still have a role to play, but only in a very small proportion of patients.
Neuroendocrine tumours
Another group of patients who may similarly benefit from liver resection are patients with liver metastases from neuro-endocrine tumours. These are an unusual group of tumours, that arise from hormone-secreting cells in the bowel, the pancreas, or in other organs. One variety is called carcinoid. Others are named after the hormone they release e.g. insulinoma, glucagonoma, somatostatinoma or gastrinoma, because they release insulin, glucagon, somatostatin, gastrin etc. For more information on these tumours, please see the section on the pancreas.
What symptoms do liver metastases cause?
A third of liver metastases from colorectal cancer show up at the same time as the primary cancer. Any patient who has been diagnosed with colorectal cancer, should have their liver scanned, and the surgeon removing the cancer should inspect the liver during the operation. The rest may show up months or years after the primary has been diagnosed and treated. These tumours may not cause any symptoms for quite a while, and show up only when in an advanced stage. They can cause jaundice (yellow discolouration of the skin and the eyes), pain in the upper abdomen, weight loss and loss of appetite. Sometimes the enlarged liver or a lump can be felt in the upper right hand side of the abdomen.
How are liver metastases diagnosed?
Diagnosis is usually made on the basis of an ultrasound scan, and then a CT or an MR is done to confirm that. Patients who have already undergone surgery for colorectal cancer are often kept on regular surveillance with ultrasound scans, and many liver metastases now get picked up on such scans, at an early stage. A whole body scan called FDG PET is useful in determining if there are other secondaries elsewhere in the body. A radioisotope-labelled substance called Fluoro-deoxy-glucose is injected into the bloodstream, and gets taken up cancer deposits wherever they are. These then show up on a whole-body scan (but only if they are close to 1 cm in size). Colorectal cancers often release a substance in the blood stream, called Carcinoembryonic antigen (CEA). This is known as a tumour marker. If the CEA level in the blood is raised, it very strongly suggests that the patient has colorectal cancer. But the converse does not always apply – if the CEA levels are normal, that does not rule out cancer. Needle biopsy of liver metastases can be done, but it does carry a small amount of risk, and should therefore be restricted to situations where it is absolutely necessary.
What is the treatment?
The treatment of colorectal liver metastases depends on:
- Tumour stage (how many nodules are present in the liver, how large are they, where exactly are they located in the liver, has the tumour spread to surrounding lymph nodes or to distant organs like the lungs or bones
- Condition of the liver itself (is it healthy or cirrhotic, and if it is cirrhotic, how badly damaged is it)
- Age and overall fitness of the patient.
Treatment decisions are often made in a multi-disciplinary forum.
If the patient is fit to undergo surgery and has an otherwise healthy liver, and the tumours can be safely cut out, then surgical resection should be considered. In surgical units that carry out such operations routinely, over 95% of patients who undergo a liver resection will recover from the surgery and go home. If the tumours cannot be safely removed, because they are either too large, too many, or located close to major blood vessels then several other treatment options can be considered.
- RFA: For tumours up to 4 cm in diameter, radiofrequency ablation (RFA) can be considered. This involves placing a needle into the tumour and destroying it with energy generated at the tip of the needle. There are other ablative techniques available, such as cryoablation and electroporation (IRE).
- Chemotherapy: For a long time, the mainstay of chemotherapy for colon cancer was a drug called 5-FU, with modest results. Over the past decades, several new and highly effective drugs have become available, such as Oxaliplatin and Irinotecan. More recently, drugs such as Cetuximab and Bevacizumab have been introduced. Patients with unresectable liver tumours may be given chemotherapy with the specific intent of downsizing the tumours and then carrying out surgical resection.
- Portal vein embolisation: Sometimes, the tumours are located in such a manner within the liver that a large part of the liver needs to be removed (for example the entire right lobe and part of the left lobe). But the amount of liver that will then be left behind may be too small and the patient will run a very high risk of developing liver failure. In such situations, it is possible to block off the portal vein inflow of blood into the parts of the liver that are going to be removed. They then start to shrink (atrophy) while the rest of the liver (the part that is going to be left behind) starts to grow. In a period of 2 to 6 weeks, substantial growth may be seen, and a surgical resection may become possible. The procedure itself involves a puncture of the liver to inject glue-like material into the relevant branch of the portal vein. Alternatively the branch of the portal vein may be tied off during a surgical operation. Another strategy that can be used in comparable situations is ALPPS. This involves two operations in rapid succession. The first stage involves splitting the liver and tying off the portal vein to the diseased part, thereby stimulating the remaining liver to grow. The second stage, carried out a week or two later provided the remaining liver has grown, removes the tumour bearing portion.
- SIRT or selective intra-arterial radiation therapy involves injection of tiny glass beads or microspheres containing a radioactive substance, directly into the artery that feeds the liver. This selectively targets the tumour deposits in the liver. While it is deemed safe and effective, cost remains a factor and it is not funded by the NHS.
- In patients with metastatic neuroendocrine cancer, a small proportion of patients with disease confined to the liver alone may benefit from transplantation. Liver transplantation is also being considered of late in a very small subgroup of patients with metastatic colorectal cancer, usually in the context of trials.
- If the patient is very unwell, or the tumour is very large or has spread beyond the liver, then control of symptoms should be the main focus of care. Chemotherapy with a palliative intent can be considered. External beam radiation may help in the treatment of painful bone secondaries. Any new treatments offered to such patients should be within a proper clinical trial.
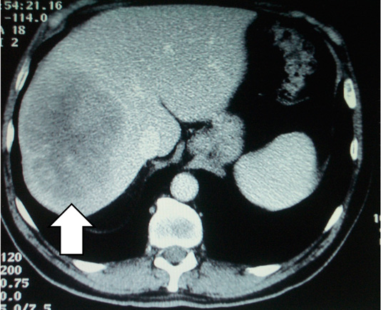
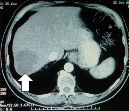
These CT scans show a secondary deposit in the liver from a cancer of the colon, before chemotherapy (left) and after chemotherapy (right). The patient then underwent surgery, but the significant shrinkage made for a lesser operation.
